Latest From HOPA

uveal melanoma with unresectable hepatic metastases
Drug Updates

Pharmacist’s Application to Practice: Hepzato Kit™

Lainey Vargo, PharmD, PGY2-Oncology Resident Katie Murto, PharmD, BCOP and Crystal Heise, PharmD, BCOP WVUH Hospitals, Morgantown, West Virginia.

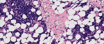
Myelofibrosis with anemia
Drug Updates

Pharmacist's Application to Practice: Momelotinib

Diana Mansour, PharmD, BCOP, Clinical Pharmacy Specialist, Charles M Gallagher, PharmD, PGY2 Oncology Pharmacy Resident; Kelsea Seago, PharmD, BCOP, Clinical Pharmacy Specialist, allfrom WVUH Hospitals, write about Momelotinib.

X-ray of brain with desmoid tumors
Drug Updates Tools and Resources

Pharmacist’s Application to Practice: Nirogacestat (Ogsiveo)

Brooke Lochridge, PharmD ,PGY-2 Oncology Pharmacy Resident, of Tristar Centennial Medical Center, Nashville, TN, and Colleen McCabe, PharmD, BCOP, Oncology Clinical Specialist, Sarcoma & Melanoma from Vanderbilt University Medical Center, Nashville, TN w

high-risk neuroblastoma
Drug Updates Tools and Resources

Pharmacist’s Application to Practice: Eflornithine for High-Risk Neuroblastoma

Taylor Gullickson, PharmD, PGY1 Pharmacy Resident and Alexis Kuhn, PharmD, BCOP, Pediatric Oncology Pharmacist, from Mayo Clinic Rochester, Minnesota write about Eflornithine for High-Risk Neuroblastoma.

close up photo of colon cancer cells
Drug Updates Tools and Resources

Pharmacist's Application to Practice: Fruquintinib

Hunter Sowell, PharmD, PGY-2 Oncology Pharmacy Resident and Sarah Cimino, PharmD, BCOP, Clinical Pharmacist Specialist, Gastrointestinal Oncology, both from Vanderbilt University Medical Center, write about fruquintinib.

Woman pointing to x-ray of metastatic breast cancer diagram
Drug Updates Tools and Resources

Pharmacist's Application to Practice: Capivasertib

Rachel B Allen, PharmD, PGY1 Pharmacy Resident and Sarah Cimino, PharmD, BCOP, Clinical Pharmacist Specialist, Gastrointestinal Oncology, both from Vanderbilt University Medical Center, write about Capivasertib.

Drug Updates Tools and Resources

Pharmacist’s Application to Practice: Niraparib and Abiraterone Acetate (Akeega™)

Mallori Anderson, PharmD, PGY2 and Christine Barrett, PharmD, BCOP, from the Mary Babb Randolph Cancer Center write about Akeega™

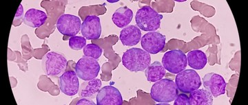
Acute Myeloid Leukemia under microscope
Drug Updates

Pharmacist's Application to Practice: Quizartinib

Eugene Lee, BS, PharmD, Medical Affairs Postdoctoral Fellow, UNC/GSK and Amber Cipriani, PharmD, BCOP, Precision Medicine Pharmacy Coordinator at UNC Health Medical Center write about Quizartinib.

Drug Updates Tools and Resources

Pharmacist's Application to Practice: Elranatamab-bcmm

Emily Lo, PharmD Candidate and Chung-Shien Lee, PharmD, BCPS, BCOP at St John’s University College of Pharmacy and Health Sciences write about Elranatamab-bcmm).

Drug Updates

Pharmacist's Application to Practice: Glofitamab

Morgan Bizzell, PharmD and PGY2 Oncology Pharmacy Resident at UNC Medical Center writes about Glofitamab.

Drug Updates Tools and Resources

Pharmacist’s Application to Practice: Talquetamab-tgvs

Marguerite Courtney, PharmD Candidate 2024 and Bradley Yelvington, PharmD, BCOP from University of Tennessee discuss talquetamab-tgvs

Drug Updates Tools and Resources

Pharmacist's Application to Practice: Epcoritamab-bysp

Shaniya Pleasant, PharmD/MHCI Candidate and Bradley Yelvington, PharmD, BCOP from Vanderbilt University Medical Center write about epcoritamab-bysp